小児矯正
子どもの矯正治療で不安なことはありませんか?
矯正治療を始めるタイミングについての不安
- 矯正専門クリニックに行ったら、様子を見ましょうと言われてしまった
- 1期治療と2期治療があるけど、どちらを行うべきかわからない
- 矯正治療のタイミングを逃してしまいそうで不安
- 矯正専門ではない歯科医院で治療をしても大丈夫なのか
お子さまの歯並びや症状についての不安
- 口呼吸している
- お口がポカンと開いている
- 猫背になっている
- 乳歯の歯が隙間なく並んでいる
- 永久歯になったら歯並びが悪くなってきた
- 受け口、出っ歯になっている
矯正治療は自由診療であり、大切なお子さまのことですから不安になるのも仕方がないように思います。
適切なタイミングでの治療介入はとても大きなメリットがあります。
このページでは子どもの矯正治療である「小児矯正」についてお伝えしていきます。
当院が行う床矯正について
子どもの頃に矯正治療を始める最大のメリットは「顎の発育を治療に利用できる」ということにあります。
子どもの顎の成長を活かして歯列を広げることによって、歯並びを改善させていきます。
成人になってから矯正治療を行うと大掛かりな矯正治療になってしまうような歯列であっても、子どもの時期に治療介入することによって、比較的負担が少なく矯正治療を行うことができます。
床矯正は取り外しができる装置になっていますので、お子さまの不安も少なく済みます。
床矯正のメリット・デメリット
メリット
- 手軽に始められる
- 一般矯正に比べて費用が安い
- 歯を抜かなくても歯並びを治すことができる可能性が高い
- 必要に応じて装置を自分で外すことができる
- 歯並びだけでなく、食事や姿勢に気を使うので、健康的な成長発育が期待できる
- 自分で努力した分だけ結果がでるので、治療の達成感がある
- 一般医が行うので、むし歯の予防や治療など矯正以外の治療を同時に行い、管理できる
デメリット
- ご家族の方にやってもらうことが多いので手間がかかり、ご家族の方の負担が大きい
- やるべきことをやらないと結果がついてこない
- 小学生低学年から中学生まで管理する必要があるため、治療期間が長い
- 装置をなくしたり、壊したりする可能性がある
- 床装置だけでなく、仕上げでワイヤーを使う必要があることが多い
- 治療のゴールが不明確、終わる時期がわかりにくい
小児矯正を始めるタイミング
当院が小児矯正を始めるのに適切なタイミングは「5〜8歳」です。
その理由としては、この年齢で悪くなっている歯並びは顎の骨が成長不全であることが多いからです。
永久歯に生え変わるタイミングで歯並びが悪くなったり、上下顎のいずれかが骨格の成長が足りずに出っ歯や受け口になっているお子さまは少なくありません。
10歳を超えてくると顎の成長が落ち着いてくるため、拡大が難しくなります。
そのため、一般的な矯正治療の対象になる可能性が高くなります。
顎の成長が止まる前に矯正治療を行うのが理想的なため、気になったら一度ご相談にいらしていただけたらと思います。
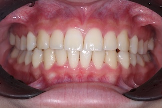
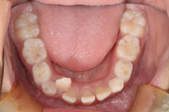
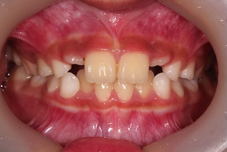
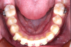
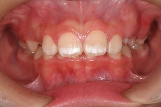
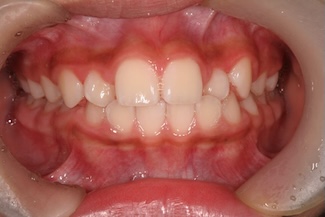
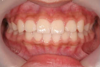
小児矯正の症例紹介
床矯正で歯列を改善した症例
Before
Under Treatment
After
症例概要
| 年代・性別 | 8歳 男の子 |
|---|---|
| 主訴 | 歯並びを治したい |
| 治療内容 | 床矯正での歯列矯正 |
| 治療期間 | 約4年(床矯正、ワイヤー矯正含む) |
| 治療のリスク | ご家族の協力が必須 |
| 治療費用 |
検査費用:33,000円(税込) 床矯正代:264,000円(税込) / 4装置作製 ワイヤー矯正代:132,000円(税込)/ 上下作製 調整料:3,300円〜5,500円(税込)/ 月 |
叢生を床矯正で改善した症例
Before
After
症例概要
| 年代・性別 | 9歳 女の子 |
|---|---|
| 主訴 | 歯並びを治したい |
| 治療内容 | 床矯正での歯列矯正 |
| 治療期間 | 約4年 |
| 治療のリスク | ご家族の協力が必須 |
| 治療費用 |
検査費用:33,000円(税込) 床矯正代:132,000円(税込) / 2装置作製 調整料:3,300円(税込)/ 月 |
ワイヤーを用いた非抜歯矯正の症例
Before
After
症例概要
| 年代・性別 | 9歳 男の子 |
|---|---|
| 主訴 | 歯並びを治したい |
| 治療内容 | 床矯正での歯列矯正 |
| 治療期間 | 約7年(床矯正、ワイヤー矯正含む) |
| 治療のリスク | ご家族の協力が必須 |
| 治療費用 |
検査費用:33,000円(税込) 床矯正代:132,000円(税込) / 2装置作製 ワイヤー矯正代:132,000円(税込)/ 上下作製 調整料:3,300円〜5,500円(税込)/ 月 |
過蓋咬合をワイヤーを用いた非抜歯矯正で改善した症例
Before
After
症例概要
| 年代・性別 | 11歳 男の子 |
|---|---|
| 主訴 | 歯並びを治したい |
| 治療内容 | 床矯正での歯列矯正 |
| 治療期間 | 約4年 |
| 治療のリスク | ご家族の協力が必須 |
| 治療費用 |
検査費用:33,000円(税込) 床矯正代:132,000円(税込) / 2装置作製 ワイヤー矯正代:132,000円(税込)/ 上下作製 調整料:3,300円〜5,500円(税込)/ 月 |
小児矯正の費用
- 検査(レントゲン含む):33,000円(税込)
- 床矯正装置:66,000円〜77,000円 / 1装置
- ワイヤー矯正:66,000円(税込)
- 調整料:3,300円〜5,500円(税込)
※お子さまの歯列によって変わりますが、概ね4〜6装置以上必要になります。
※床矯正とワイヤー矯正で費用が異なります。
小児矯正をご検討の方へ
小児矯正をご検討の方はお気軽にご相談にいらしてください。
矯正を始めるタイミングに関するご相談や、歯並び、症状に関するご相談など何でもお話しください。
大変お手数ですが完全予約制となっておりますため、ご予約をいただけると幸いです。



