非抜歯矯正(歯を抜かない矯正)
できる限り歯を抜かずに整える矯正治療を

「抜歯と言われたけれど、本当は歯を残したい」
「手術が必要と言われたが、できれば避けたい」
そんなお悩みを抱える患者さんが、西馬込のヨシダ歯科には多く来院されます。
当院では マルチループワイヤーを用いた矯正治療とミニインプラント(アンカー)を併用した力のコントロールにより、抜歯・外科を回避できる可能性を高める矯正治療を行っています。
もちろん、すべての症例で非抜歯が可能になるわけではありません。
しかし、他院で抜歯・手術を提案された方でも、当院では別の選択肢をご提案できる場合があります。まずは諦めずにご相談ください。
なぜ矯正専門医ではない私が、非抜歯矯正に取り組むようになったのか
ある日、私の妻が原因不明の痛みを訴え、最終的には抜歯に至りました。
むし歯でも、歯周病でもない。失われた原因は「噛み合わせの悪さ」でした。
そこの経験をきっかけに、私は “歯を守るために、矯正治療は欠かせない”という事実を痛感しました。それ以来、噛み合わせ・矯正の理論を一から学び直し、マイクロスコープ・歯周病治療・インプラント治療と組み合わせた総合的な矯正治療 に取り組むようになりました。
単に歯並びを整えるだけではなく「歯を長く守るための矯正治療」これが当院の矯正治療の大きな特徴です。
他院で抜歯・外科手術を提案された方へ

以下のような診断を受けた方でも、当院のマルチループ矯正で改善を図れるケースがあります。
- 4本抜歯しないといけないと言われた
- 顎変形症で手術しかないと言われた
- 開咬(前歯が噛み合わない)があると言われた
- 受け口(反対咬合)だから通常の矯正治療では難しいと言われた
- 左右非対称と言われた
これらは一般的には“難症例”と呼ばれますが、歯の動かし方を細かくコントロールできるマルチループ矯正では、非抜歯で改善できる可能性があります。
非抜歯を可能にするマルチループ矯正とは?

マルチループとは、ワイヤーに複数のループ(曲げ)をつけ、歯を3次元的に精密に動かせる矯正方法です。
- 歯を“上下・左右・前後”すべての方向へ繊細にコントロールできる
- 歯列のバランスを整えやすく、歯を抜かずにスペースを作れる
- 開咬や受け口など、ワイヤー矯正で治りにくい症例でも適応しやすい
- 骨格的なずれにもある程度対応できる
つまり、一般的なワイヤー矯正よりも非抜歯で治療できる幅が広い という大きなメリットがあります。
ミニインプラント(アンカー)で、さらに非抜歯の可能性を広げる
難症例では、歯を希望の方向へ動かす“固定源”が必要になる場合があります。その際に使用するのが ミニインプラント(アンカー) です。
- 処置は10分程度で済む
- 麻酔は少量で負担が少ない
- 大規模な手術ではなく、“米粒ほどのピン”を入れるだけ
- 処置後の痛みもほとんどない
ミニインプラントによって、強固な固定源が得られるため、歯を抜かずに並べられる可能性が高まります。「インプラント」と聞くと不安に感じる方が多いですが、 一般的な“インプラント埋入手術”とは全く別の、シンプルな処置ですのでご安心ください。
矯正専門歯科では難しい治療も可能です

矯正治療は歯並び改善だけで完結しないことがあります。歯周病・被せ物・インプラントなど、複数の治療分野が必要になるからです。当院は総合歯科医院として以下の治療にも対応できます。
- 歯周病治療
- マイクロスコープによる精密治療
- インプラント治療
- 被せ物・詰め物治療
- 歯肉退縮のリカバリー
- ホワイトニング
歯科治療の知識と技術を組み合わせた“総合矯正治療” が可能です。
非抜歯矯正のメリット
- 健康な歯をできる限り残せる
- 横顔(Eラインなど)が自然に保ちやすい
- 噛み合わせを生理的な位置に整えやすい
- 歯周病の進行予防につながりやすい
- 長期的に歯が長持ちしやすい
当院の矯正治療は、“見た目だけでなく、機能と予後を重視する”ことを大切にしています。
当院が矯正治療をおすすめするケース
- 歯並びが悪くて見た目が気になる
- 噛みにくい、どこで噛んで良いかわからない
- 前歯で噛めず奥歯だけで噛んでいる
- 下の歯が見えないほど深い咬み合わせ
- 詰め物や被せ物がよく外れる
- 噛み合わせが安定せず、顎に負担を感じる
これらは、歯並びだけではなく、噛み合わせの問題 が隠れていることがあります。
非抜歯矯正の症例紹介
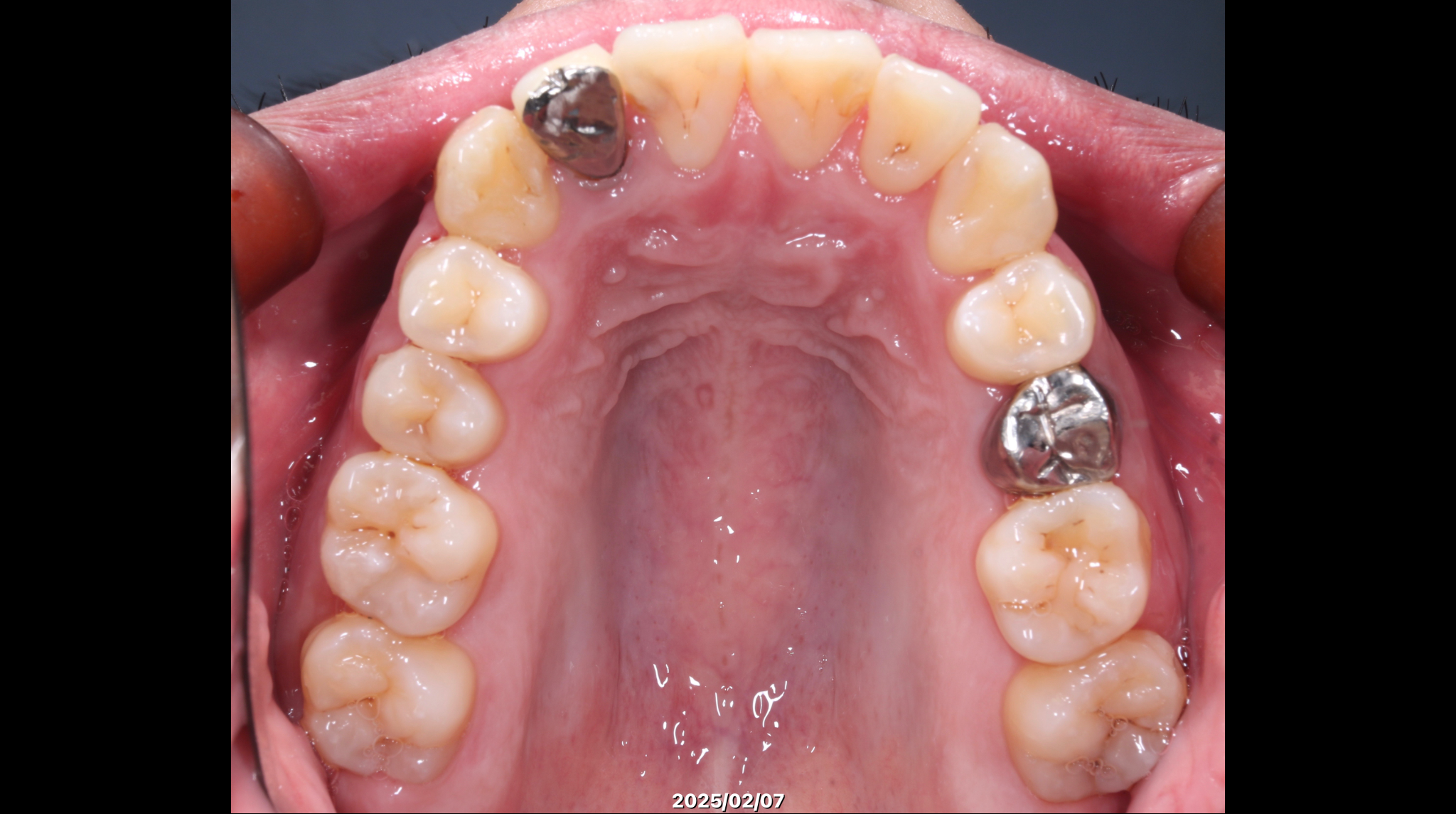
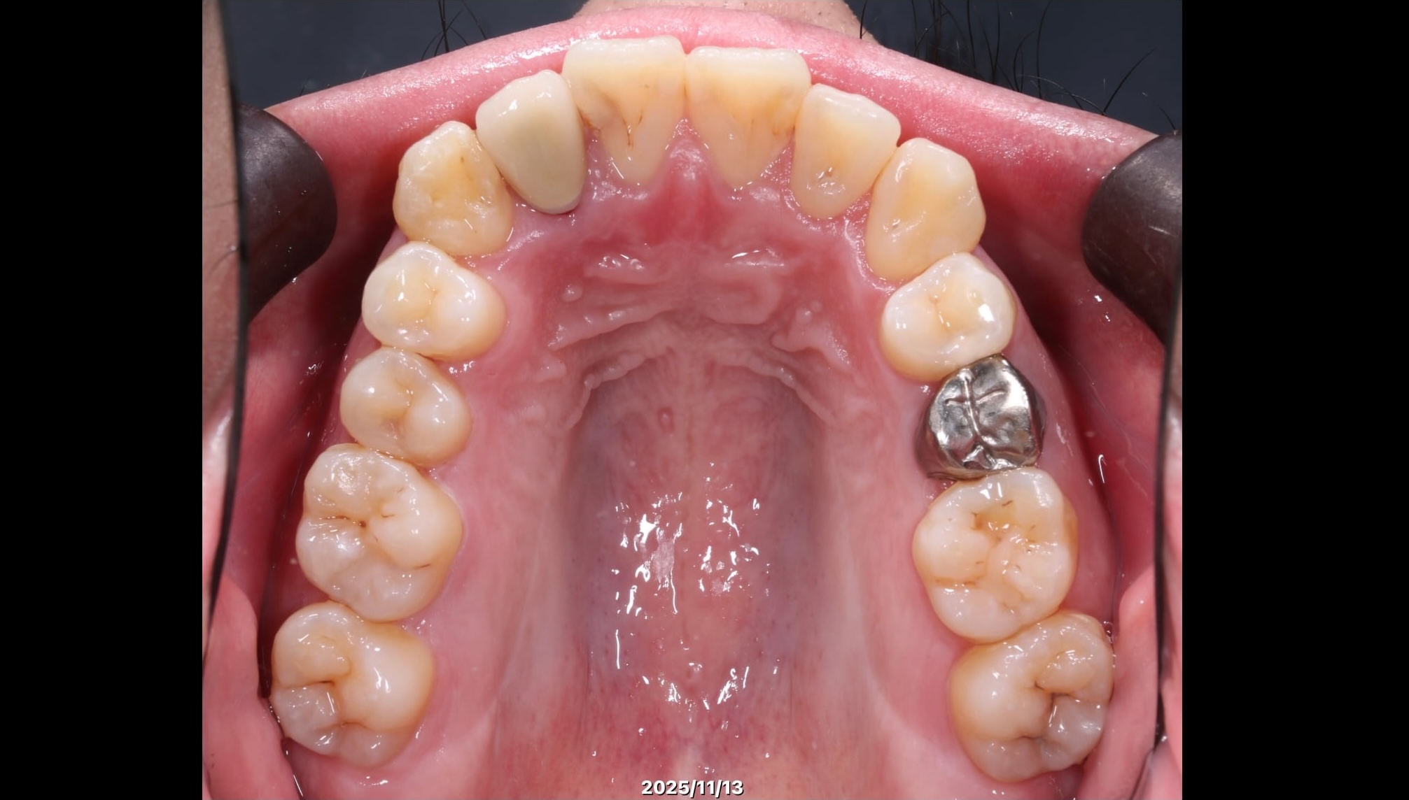
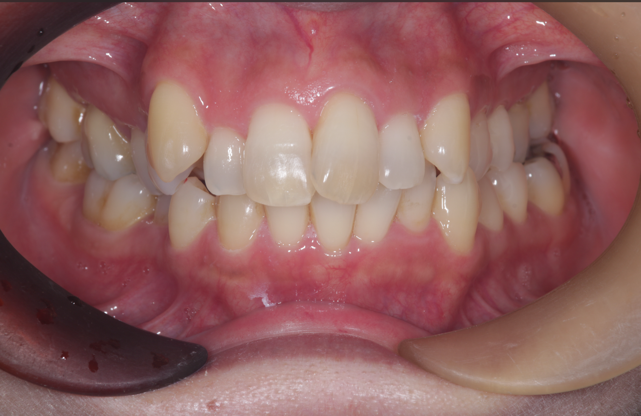
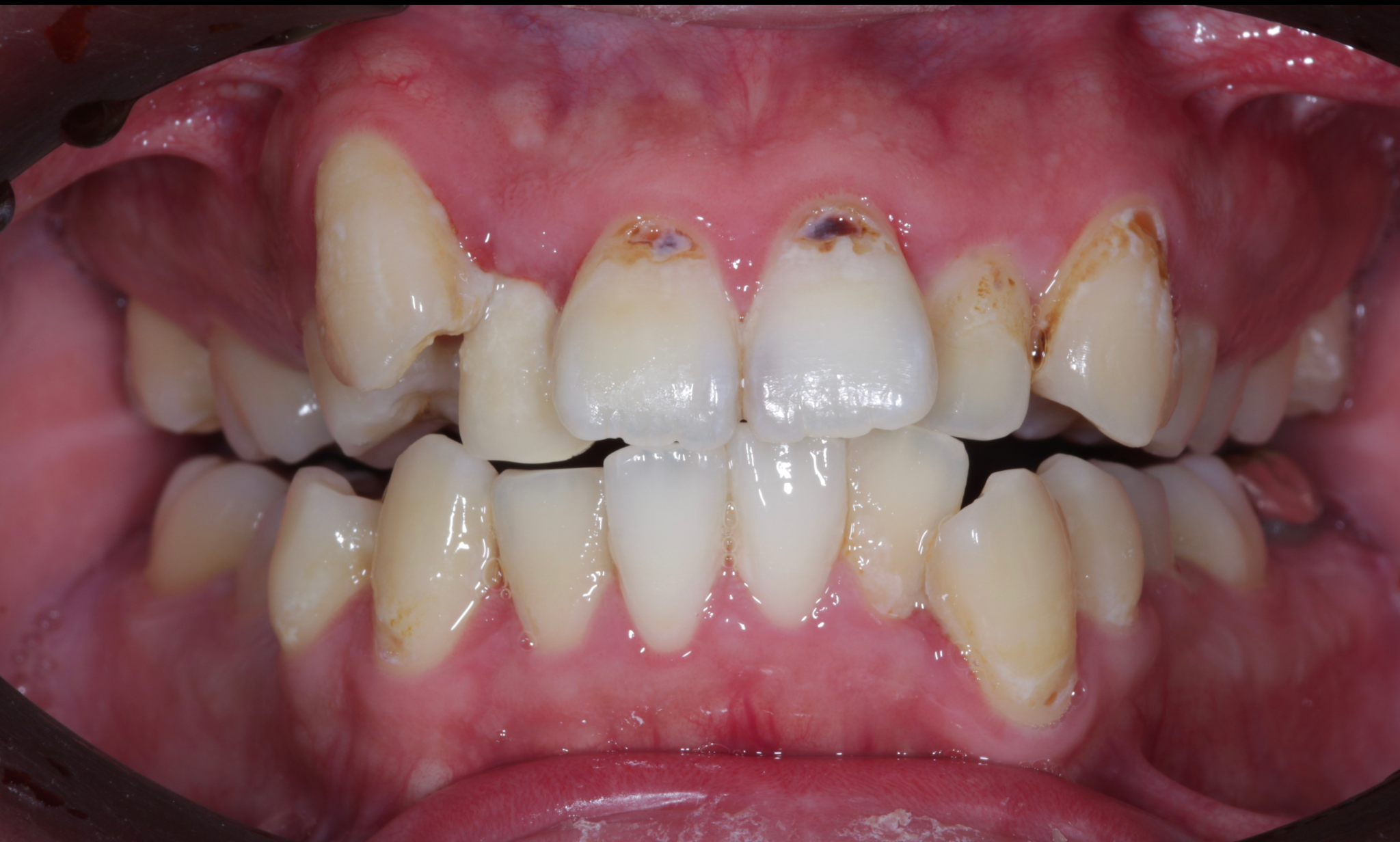
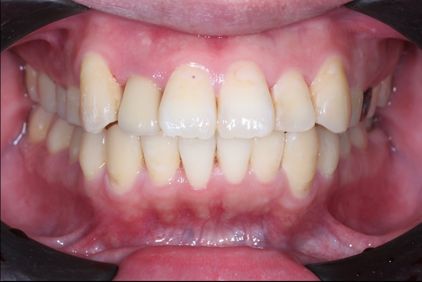
症例1:重度の叢生を矯正治療で改善した症例
術前の状態
術後の状態
治療概要
| 患者さんの状態 | 重度の叢生 |
|---|---|
| 治療内容 | MEAWを用いた矯正治療(非抜歯) |
| 治療期間 | 約2.5年 |
| 治療費用 | 1,320,000円(税込) ※矯正治療費のみです。 |
| 治療のリスク | 歯肉退縮、自由診療、後戻り、口腔内清掃が難しい |
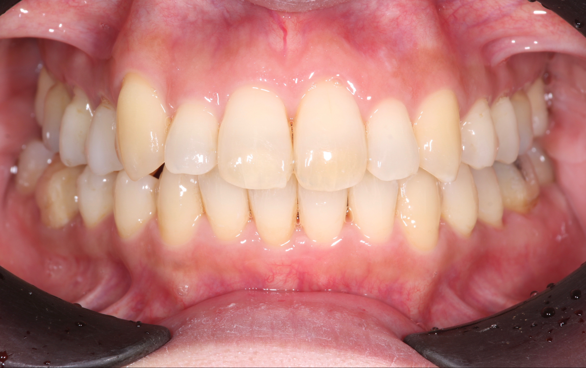
症例2:叢生を矯正治療で改善した症例
術前の状態
術後の状態
治療概要
| 患者さんの状態 | 叢生 |
|---|---|
| 治療内容 | MEAWを用いた矯正治療(非抜歯) |
| 治療期間 | 約2年 |
| 治療費用 | 1,320,000円(税込) ※矯正治療費のみです。 |
| 治療のリスク | 歯肉退縮、自由診療、後戻り、口腔内清掃が難しい |
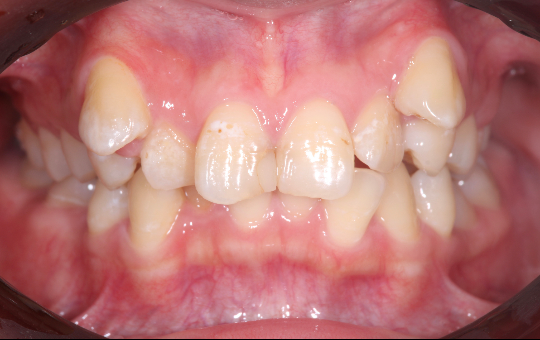
症例3:重度の叢生と開咬を矯正治療で改善した症例
術前の状態
術後の状態
術前の状態
術後の状態
治療概要
| 患者さんの状態 | 重度の叢生と開咬 |
|---|---|
| 治療内容 | MEAWを用いた矯正治療(非抜歯) |
| 治療期間 | 約2年 |
| 治療費用 | 1,320,000円(税込) ※矯正治療費のみです。 |
| 治療のリスク | 歯肉退縮、自由診療、後戻り、口腔内清掃が難しい |
矯正治療の費用
- 矯正治療 1,320,000円(税込)
- 精密検査:121,000円(税込)
- リテーナー:77,000円(税込)
- 矯正管理費:5,500円(税込)/ 月
- ミニインプラント(アンカー):55,000円(税込)
- オーバーレイ:55,000円(税込)
「抜歯を避けたい」という気持ちを大切に
矯正治療は一度始めると、後戻りができません。だからこそ、慎重な診断と丁寧な説明が欠かせません。当院では、可能な限り歯を残す選択肢を一緒に考えることを大切にしています。抜歯と診断された方、手術が必要と言われた方も、まずはご相談ください。
矯正相談・セカンドオピニオンを行っています
ヨシダ歯科では、19:00〜21:00の時間帯に、各日2名限定で矯正相談を行っています。”1人あたり1時間”を確保し、院長があなたのお悩み・他院での診断内容について丁寧にご説明します。
- 他院で抜歯が必要と言われた
- 手術しか方法がないと言われた
- 本当にこの治療法で良いのか不安
- もっと歯を残す治療がないか知りたい
という方は、お気軽にご相談ください。



